軸承自動化視覺檢測設備檢測五金件外觀方案,均需在影像下清晰可見才能檢測。檢測效率:每分鐘檢測數量 不低于200件(取決于產品送料速度)。
一、檢測內容及要求
檢測內容:
產品的外觀檢測
|
序號 |
檢測位置 |
檢測方式 |
是否可檢 |
備注 |
|
1 |
電鍍臟污 |
360°環形檢測 |
可檢 |
360°鏡頭只能檢測5cm²以上的特征。不能檢測類似輕微色差的特征 |
|
2 |
電鍍渣 |
360°環形檢測 |
可檢 |
|
3 |
腐蝕 |
|
不可檢 |
|
4 |
毛邊 |
頂部背光檢測 |
內外環毛邊可檢測、槽邊毛刺不可檢 |
|
5 |
異物 |
頂部背光 |
可檢 |
|
|
6 |
變色 |
|
不可檢 |
|
注明:以上檢測項目,均需在影像下清晰可見才能檢測。
檢測效率:每分鐘檢測數量 不低于200件(取決于產品送料速度)。
樣品圖:
二、設備組成及主要機構
設備型號:SP-T300標準檢測設備 外形尺寸:900*800*1850mm
組成部件清單:
|
序號 |
部件名稱 |
規格型號 |
數量 |
|
1 |
視覺檢測軟件 |
SIPOTEK |
1套 |
|
2 |
工業電腦 |
SIPOTEK定制 |
1套 |
|
3 |
顯示器 |
PHILIPS 19”液晶顯示器 |
1臺 |
|
4 |
工業相機 |
Barsler工業相機 |
3套 |
|
5 |
相機調節模組 |
SIPOTEK定制 |
3套 |
|
6 |
工業鏡頭 |
FA高清光學工業鏡頭 |
1套 |
|
7 |
工業鏡頭 |
定制360°環形檢測工業鏡頭 |
2套 |
|
8 |
光源 |
定制光學自適應光源 |
1套 |
|
8 |
檢測平臺 |
專業光學玻璃載臺 |
1套 |
|
9 |
伺服電機 |
松下·PANASONIC |
1套 |
|
9 |
控制系統 |
SIPOTEK定制 |
1套 |
|
11 |
PLC運動協作 |
松下·PANASONIC |
1套 |
設備外觀3D立體圖
三、樣件測試圖片:
1.頂部背光檢測原圖:
頂部背光檢測良品分析圖:OK
頂部背光檢測不良品分析圖:NG 不良原因:內毛刺

頂部背光檢測不良品分析圖:NG 不良原因:異物
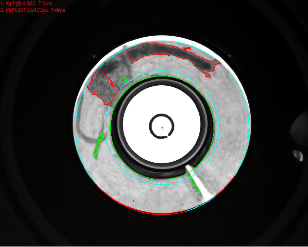
外環360°檢測原圖:
外環360°檢測不良品分析圖:NG 不良原因:電鍍臟污
外環360°檢測不良品分析圖:NG 不良原因:電鍍臟污
內環360°檢測良品分析圖:OK
內環360°檢測不良品分析圖:NG 不良原因:電鍍臟污